慢热爱情家
2026-03-18 11:56
· 广东
$诺思兰德(BJ920047)$
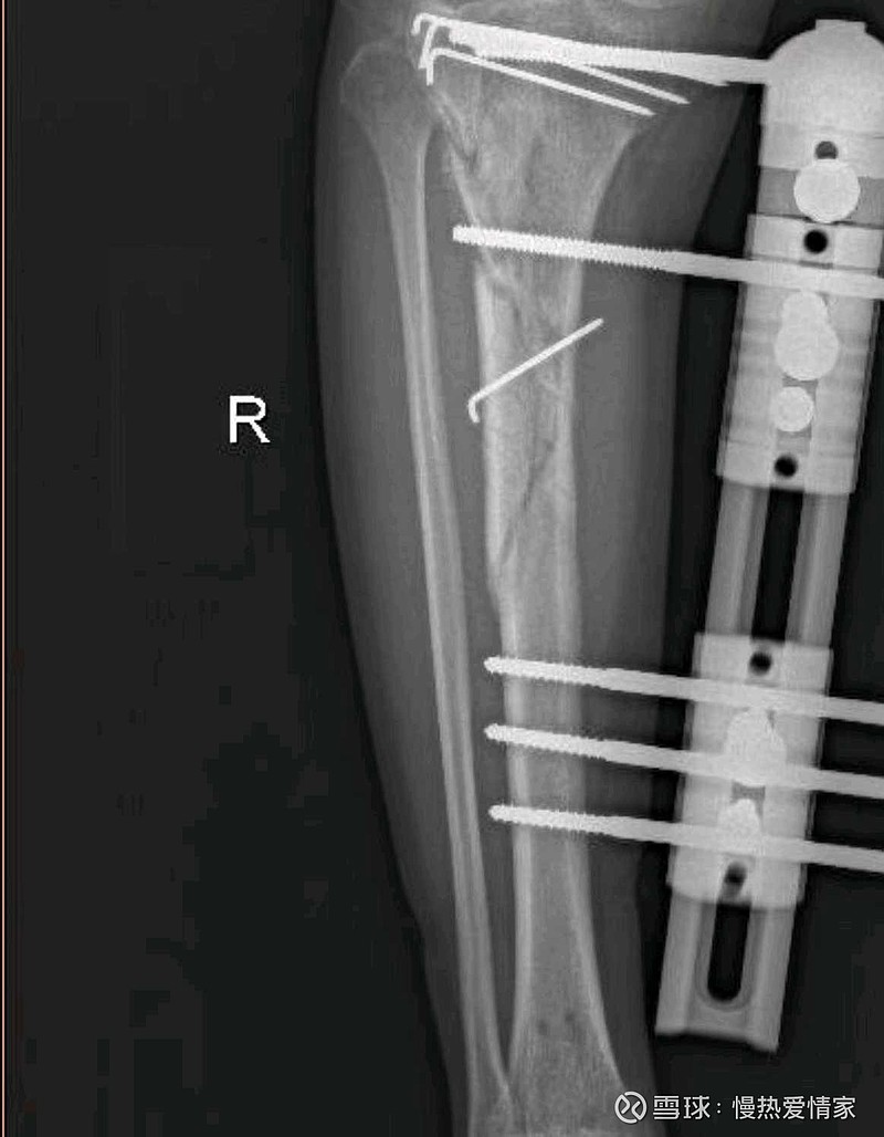
什么时候上市啊,天天打抗凝针,听医生说一针nl003能管用一年